The brain, sitting at the top of your central nervous system, is the most incredible organ in your body. It's where you 'are' ... all your other organs could be transplanted, and you would still be 'you', but once your brain is removed you cease to exist. Your brain, as well as thinking, also does a host of other jobs for the body. It interprets all the data you receive from the world around you through your senses. It controls your body's body temperature, blood pressure, heart rate, and breathing. The brain looks after all the motions your body does automatically, like walking, running, and reaching for things, without you having to think about how to do it. The brain does all of these things faster and more effectively than the largest and most powerful computer ever made, yet it is only slightly bigger than the size of two adult fists. The brain makes up only about 2% of your body weight, but it uses 25% of your total blood supply!


Your brain is pinkish-grey on the outside, and covered in folds. Inside, it is a very light shade of yellow. Brain matter is very soft, so it needs to be protected by tissues and liquid that surround it (not visible in our photographs), and the bony skull.

The brain has three main parts. The largest is the cerebrum, at the top. The convoluted surface of the cerebrum is called the cerebral cortex, which is only about a third of a cm thick, but this is the part that does the thinking and understanding ... it enables you to learn, remember, and reason.
Your cerebrum is actually divided into two halves, called the right and left hemispheres. Each half of the cerebrum is responsible for different tasks. Information is shared between the halves by way of the corpus callosum.


Let's look at what's in a brain, and what each part of the brain does.


CEREBELLUM:
It automatically coordinates all of your limb and muscle movements, to help you sit, walk and balance.
OCCIPITAL LOBE:
This part of the brain processes what your eyes see, and turns it into a picture of the world around you.
PARIETAL LOBE:
It controls the sense of touch, and how you use your hands to do things.
CEREBRUM:
This is the top of the brain, covered by the cerebral cortex, which contains your memories and language, and correlates information received from your senses. It controls voluntary movement, emotions, and does the thinking.
FRONTAL LOBE:
This part of the brain controls your ability to speak.
TEMPORAL LOBE:
This is where signals from our ears are processed, so we can hear.
PONS:
Breathing, the regular beating of the heart, and other involuntary activities of the body (the ones that happen without you having to think about it) are contolled here.
BRAIN STEM:
This collects all the body-controlling messages from the brain, and passes them on to the rest of the body.


Let's look at a brain which has been split in half vertically, so we can identify more structures:


THALAMUS:
The thalamus relays incoming messages from your senses to the proper areas of the brain that need to process them.
HYPOTHALAMUS and PITUITARY GLAND:
Together these help regulate sexual urges, body temperature, growth, thirst and hunger, maternal behavior (including milk production in mammals), aggression, pleasure, and your 'biological clock', which lets you know when you need to sleep or wake up.
CORPUS CALLOSUM:
This portion of the brain is the connection between the two halves of the brain (the right and left hemispheres).


The process that your brain uses to store and retrieve information is not well understood, but it works because of the way individual brain cells, called neurons, are connected to each other. Each neuron is covered with dendrites, which are long channels which can receive electrical signals from other neurons. Every neuron makes a connection with the denrites of neurons all around it, using an axon, a fibre for passing signals. In this way, neurons can share information with each other. Every neuron is connected to thousands of others.
(Our simplified diagram at the left shows only a few connections).

The information is actually passed from each axon to a dendrite across a gap called a synapse. The electrical signals trigger neurotransmitters, which are chemicals that move across the gap and stimulate the dendrite, conveying a message from one neuron to another.

Every time your brain does something ... think, feel sad, send a signal to move your arm or take a breath ... millions of neurons are sending messages to and from one another. The messages consist of electrical impulses sent down the axons, and chemical messages moving across the synapses.


Neurons have different shapes, depending on the job they do. But all neurons share the capability of linking with others in order to pass electrical and chemical messages. As you learn things ... like how to throw a baseball, or how to interpret a poem, or how to factor a polynomial ... your neurons grow more dendrites to become attached to other neurons. The more you repeat that learning, or practice what you've learned, the stronger these connections between neurons become. There are over 100,000,000,000,000 possible connections between neurons in the brain, which makes the human brain more powerful than any computer ever made.



The outer layer of your brain, the cerebral cortex, is wrinkled and folded in order to cram more brain cells into the limited volume existing inside your skull. It is thought that as humans evolved, the increasing requirement for more intelligence meant that the brain had to get bigger, ... but there wasn't room! Skulls couldn't grow in size, or a baby wouldn't be able to fit through the birth canal of its mother. So the brain's surface had to fold in on itself to increase its volume.

The size of the average human brain isn't much bigger than two adult fists side by side. Smarter people don't have bigger brains, just more connections between neurons. There is some evidence to suggest that the interior structure of a very smart person's brain may be slightly different than normal, however, based on measurements made on Albert Einstein's brain after his death.



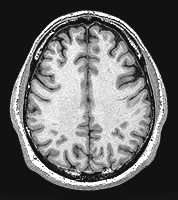
The two hemispheres of the brain, as seen in cross section from above, in a photo taken by an MRI machine.
  What sorts of things can go wrong with your brain? One common problem is strokes, which occur when the blood supply to the brain is blocked, usually due to plaque and blood clot buildup. This is explained in more detail on our page about the heart; the same thing happening to the heart's blood supply causes a heart attack.
Damage to any portion of the brain, through trauma or drug intake, may cause problems relating to the function of that portion of the brain. Damage to the cerebral cortex, for example, may cause memory loss.



Incidentally, there is a myth that we only use 10% of our brains. This is completely untrue; recent developments in scanning technology have demonstrated conclusively that as we think and experience things, the electrical activity shows all parts of the brain being active. Read more here.

Alcohol is a poison, and it kills brain cells. Brain and spinal cord cells are the only cells in the body which cannot regrow; once you lose them they don't come back. (* but see below). Alcohol can have the following effects on the functioning of the brain:
  • Frontal Lobe: Loss of reasoning ability, caution, inhibitions
  • Parietal Lobe: Loss of fine motor skills, slower reaction time
  • Temporal Lobe: Speech and hearing impairment
  • Occipital Lobe: Blurred vision, poor distance judgement
  • Cerebellum: Lack of muscle coordination and balance
  • Brain Stem: Loss of vital functions
* Very recent evidence suggests that new brain cells may indeed grow, and that a healthy diet and frequent physical exercise help facilitate the process of regrowth. Exercise has also been shown to slow down the onset of Alzheimer's Disease.


Resources