METHAMPHETAMINE


Methamphetamine (sometimes referred to as Meth, speed, or STP) is a highly addictive stimulant drug; it is chemically related to amphetamines, but the effects of methamphetamine on the user's central nervous system are greater. Methamphetamine hydrochloride, clear chunky crystals resembling ice, can be inhaled by smoking, and is often referred to as 'ice', 'crystal', or 'glass'.

Methamphetamine causes the body to release high levels of dopamine, which stimulates brain cells, enhancing the user's mood and body movement, and producing feelings of euphoria. Other effects can include increased wakefulness, increased physical activity, decreased appetite, increased respiration, dry mouth, irritability, insomnia, confusion, anxiety, paranoia, and aggressiveness.

Methamphetamine can be taken orally, through the nose, by intravenous injection, or by smoking. Immediately after smoking or injection, the user experiences an intense sensation, called a 'rush', that lasts only a few minutes and is extremely pleasurable. Oral or nasal use produces a feeling of euphoria.

Users become addicted quickly, and must use the drug with increasing frequency and in larger and larger doses, as it increases the body's tolerance. High doses of methamphetamine damage brain neurons. Methamphetamine also appears to cause reduced levels of dopamine, which can result in symptoms like those of Parkinson's disease.

Because methamphetamine causes increased heart rate and blood pressure, repeated use can cause irreversible damage to blood vessels in the brain, producing strokes. Other effects can include respiratory problems, irregular heartbeat, extreme anorexia, cardiovascular collapse and death. Methamphetamine, and the long-term sleep deprivation and malnutrition that come with the drug's use, can also compromise the user's immune system, resulting in an increased susceptibility to infection.

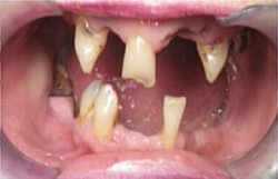
Other effects of the drug include twitching, repetitive behavior, and jaw clenching or teeth grinding. Methamphetamine addicts also lose their teeth quickly, which may be a result of the teeth clenching, the lack of saliva that causes a dry mouth (saliva helps kill tooth bacteria), or just a side-effect of the poor hygiene that goes along with the drug's use.

It is commonly believed that methamphetamine gives people super-human strength. This isn't exactly true; because methamphetamine inhibits pain and increases metabolism, this may allow a user to push muscles further than would otherwise be possible.

After using meth for about a year or so, men lose the ability to have sex.

As of 2022, methamphetamine use, availability and harm all appear to have increased in Canada, most notably in Western and Central Canada. In the U.S., methamphetamine remains a common drug and is driving overdoses in rural communities. About four of five people who use drugs in rural areas across 10 states reported using methamphetamines in the past 30 days, according to researchers.

BACK